

Vroeger verleende de tandarts voornamelijk ZORG.
Nu is dat veranderd: de tandarts legt de nadruk op PREVENTIE.
Dit kunnen wij alleen bereiken met uw hulp:
Door verschillende behandelingen kunnen wij uw tandstand, tandkleur of tandvorm verbeteren. Want een stralende lach dat wil toch iedereen?!
Dit zijn porselein/composiet (=wit vulmateriaal) schildjes, die aan de voorkant van snijtanden geplaatst worden.
De tandstand, tandkleur en tandvorm kunnen middels kronen en bruggen ook enorm verbeteren.


In onze praktijk kunt u kiezen voor bleken met behulp van de laser of voor thuisbleken.
Nadat de tandarts de bleekgel op uw tanden heeft aangebracht, zal het bleekproces door de laser versnelt in werking worden gezet. Bleken met laser gaat dus super snel!
Speciaal voor u op maat gemaakte lepels die gevuld worden met bleekgel. U dient deze lepels 1 tot 2 weken te dragen. Gooi deze bleeklepels niet weg na de behandeling, u kunt ze na verloop van tijd nog gebruiken voor een ‘’opfrisbeurt’’.
Laser tandheelkunde is een nieuwe behandelvorm die vele voordelen kent:
De laserbehandeling doet minder pijn en de napijn is ook minder.
Verder heeft de laser een desinfecterende en bacteriedodende werking.
Wij werken in onze praktijk met de meest moderne laser van deze tijd.
De volgende behandelingen zijn mogelijk binnen onze praktijk:


Als u ontevreden bent over uw tandstand, kan een beugel een oplossing zijn. Tijdens een afspraak bespreekt de tandarts graag de mogelijkheden met u. Rechte tanden zien er niet alleen mooier uit, maar zijn ook makkelijker te poetsen. Bij kinderen is de beste leeftijd voor het plaatsen van een vaste beugel 10 tot 15 jaar. Natuurlijk is een beugel voor volwassenen ook nog mogelijk.
MOOIE TANDEN
Dat is in onze praktijk gewoon mogelijk.Door gebruik te maken van moderne behandeltechnieken nieuwe producten, is een betaalbare mooie glimlach mogelijk.
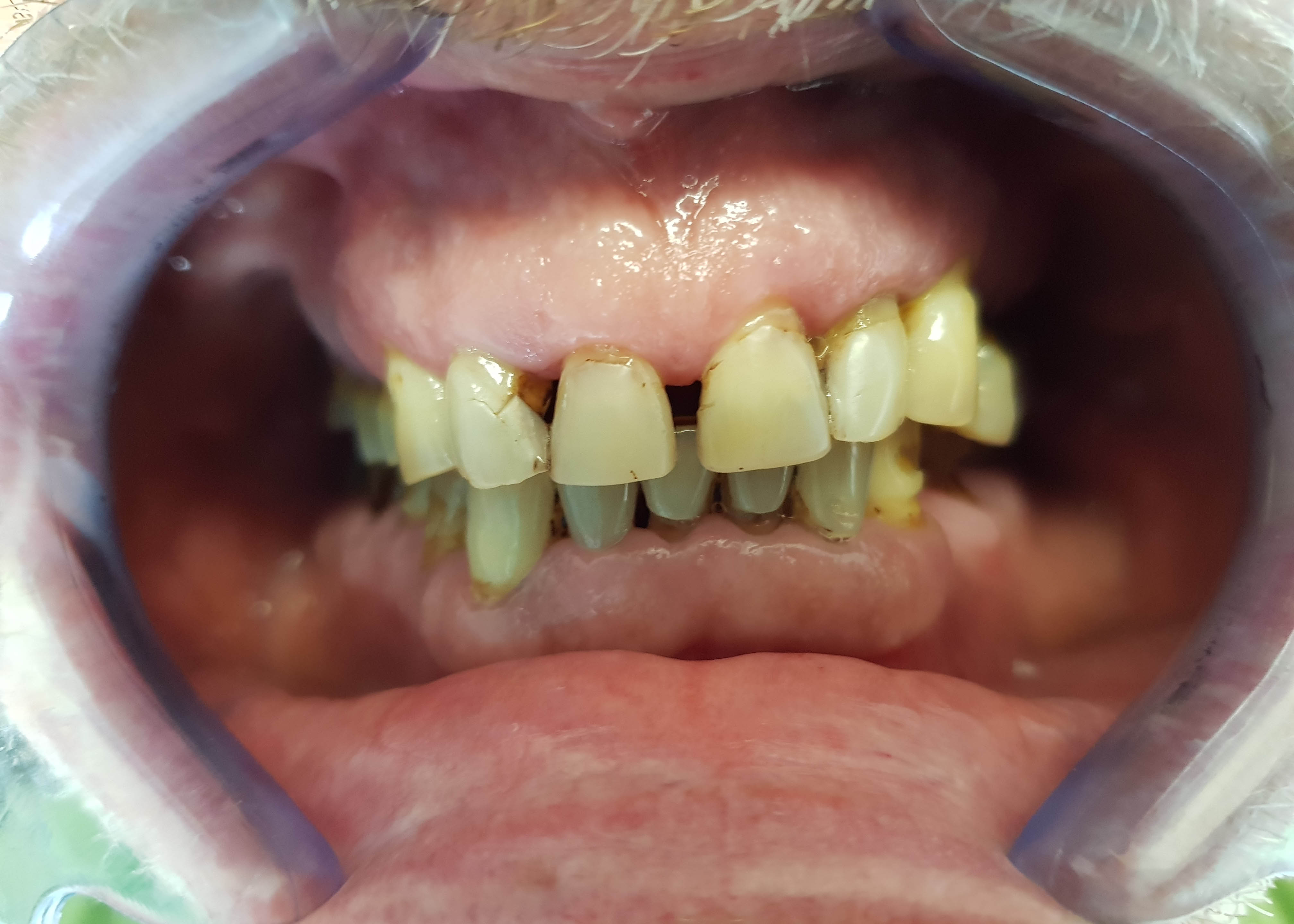
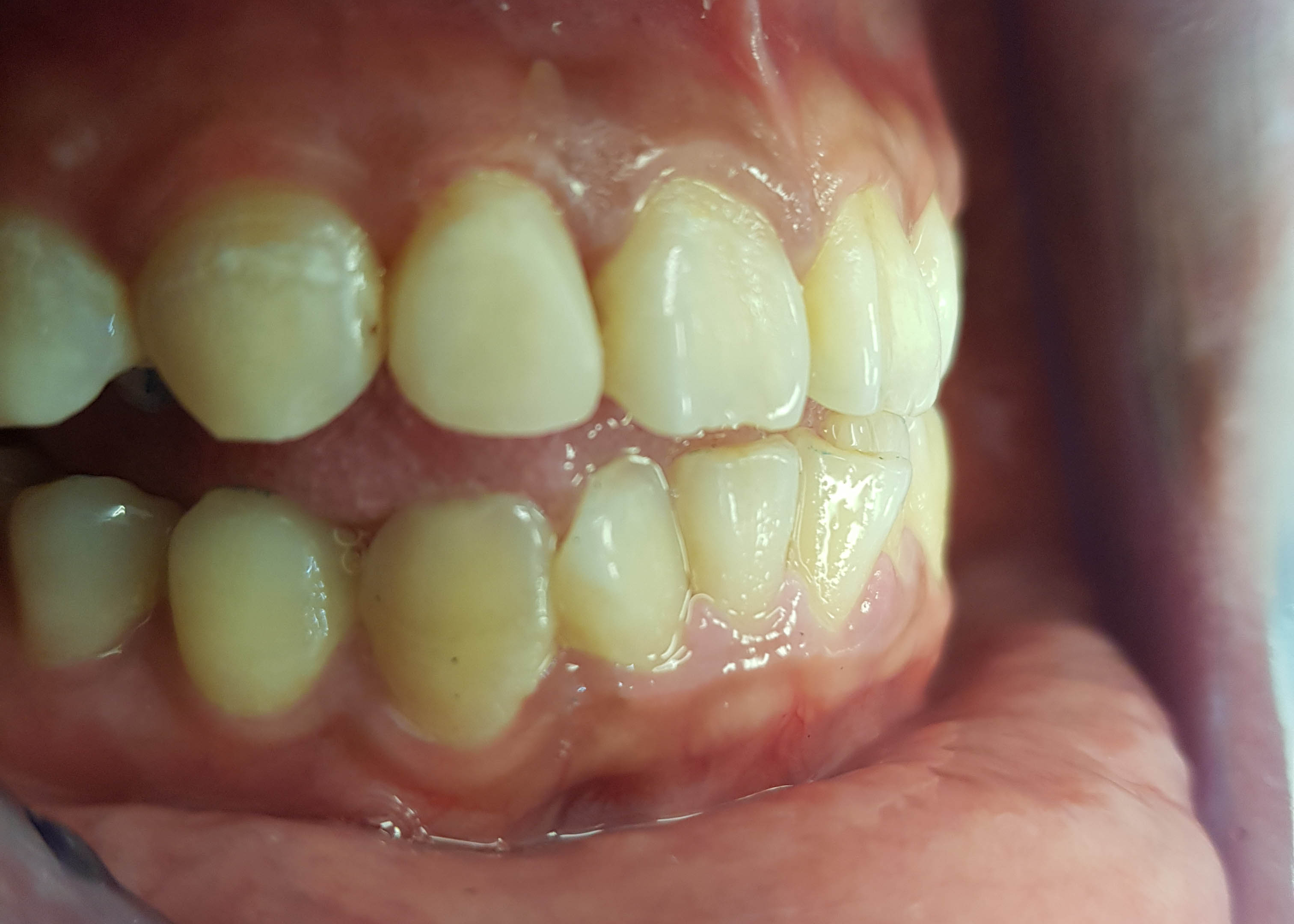
Deze patiënt hebben wij mogen voorzien van frontkronen.
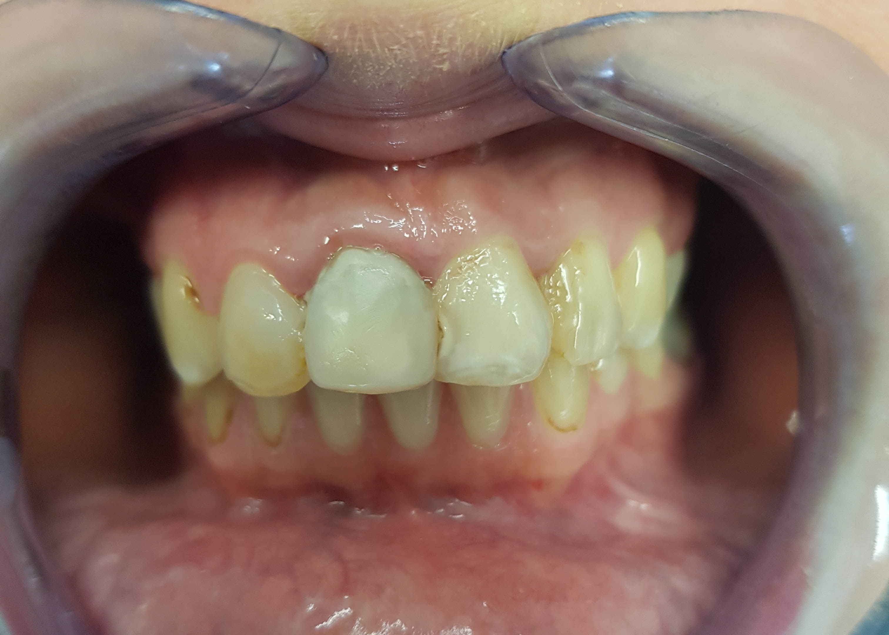
Op de tweede snijtand is een composiet facing geplaatst bij deze patiënt.
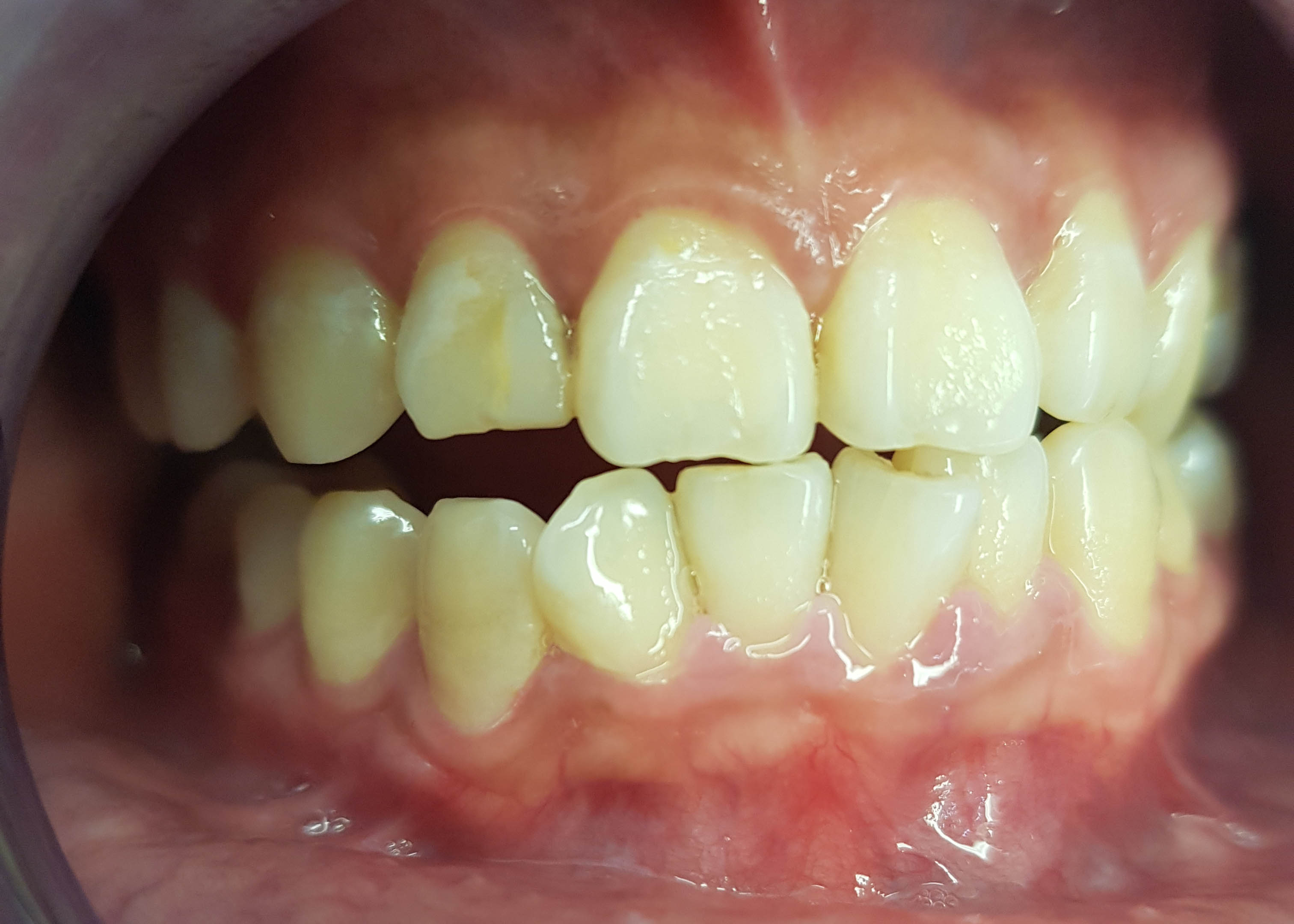
Bij deze patiënt zijn er composiet facings geplaatst om het gehele gebit te voorzien van een esthetisch mooier aanzicht.
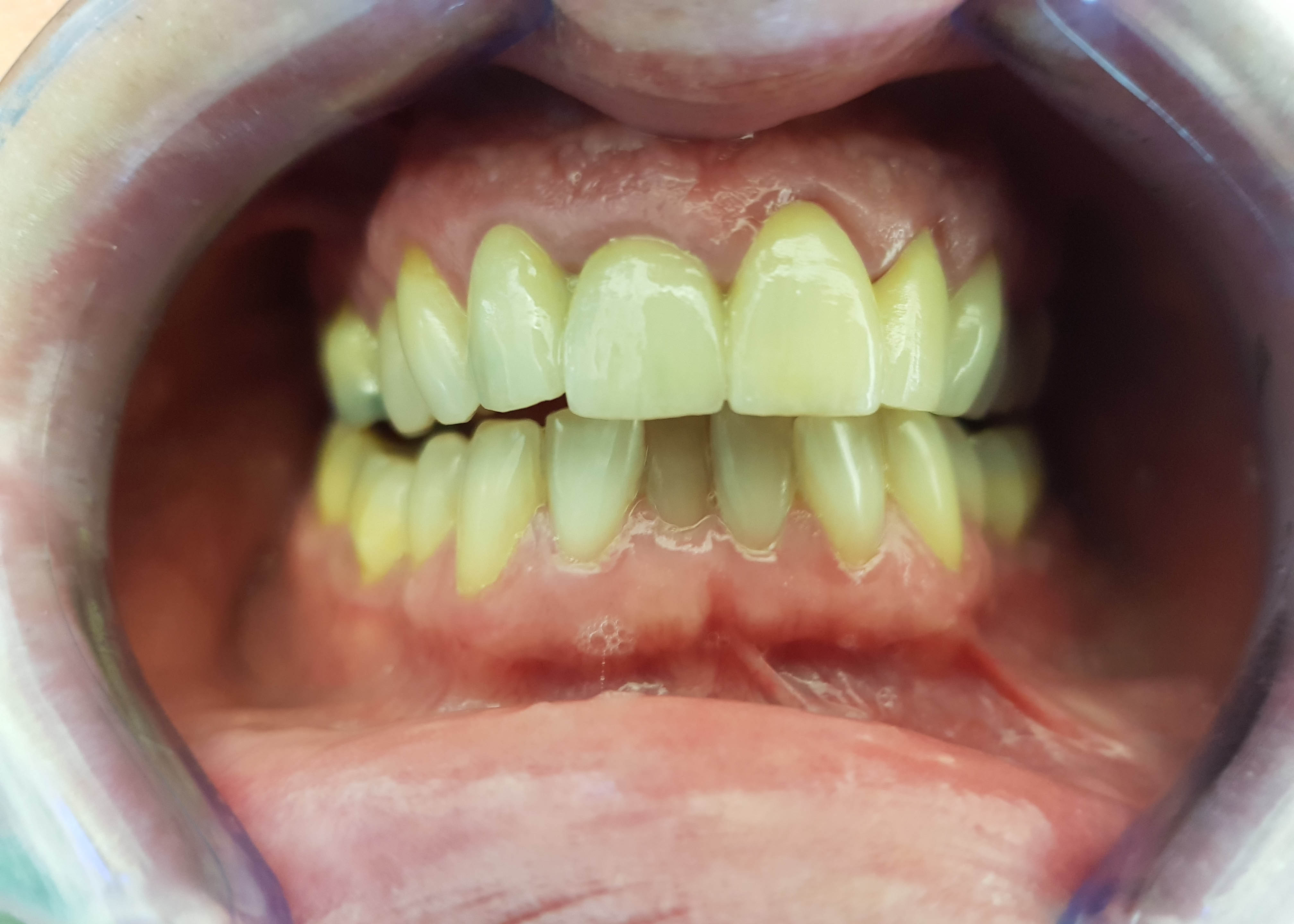
Deze patiënt hebben wij mogen voorzien van 4 geheel nieuwe frontkronen.